
ABLAUF EEG ASSESSMENT
Das Assessment dauert etwa 30-40 Minuten. Du wirst eine EEG Kappe (wie im Bild) auf deinem Kopf tragen, die Elektroden sind mit Salzwasser getränkten Schwämmen benetzt, du kannst diese Kappe also direkt anschliessend wieder abnehmen und hast keinerlei Rückstände am Kopf oder in den Haaren.
Während des Assessments überprüfe ich, ob alle Elektroden gut leiten, damit das Ergebnis möglichst unverfälscht ist. Dazu gehört auch, dass du möglichst bewegungsarm sitzt (aber du bist auf einem bequemen Sessel). Wir nehmen dann ca. 5 Minuten EEG mit geschlossenen Augen, 5 Minuten mit geöffneten Augen und 20 Minuten während einer Aufgabenbearbeitung auf.
Die jeweilige Aufgabe ist unterschiedlich, jenachdem, welche Symptomatik vorliegt und welches ereigniskorrelierte Potenzial wir sichtbar machen wollen (erkläre ich noch weiter unten, im Abschnitt “ereigniskorrelierte Potenziale” genauer).
Anschliessend kannst du die Kappe wieder absetzen und ich werte deine Daten individuell aus. Dazu gehören sogenannte Brain Maps, die die unterschiedlichen Frequenzen deiner Gehirnwellen darstellen (und Abweichungen von einer Normstichprobe aufzeigen) als auch Brain Maps, die die Flexibilität der Kommunikation, Balance in der Aktivität und Geschwindigkeit in der Verarbeitung zwischen den Netzwerken darstellen. Auch die Aktivität in tieferliegenden Strukturen werden wir betrachten (LORETA) und abschliessend dann die uns interessierenden ereigniskorrelierten Potenziale analysieren.
Du erhälst zu allen Messungen individuelle Auswertungen und optional auch persönliche Berichte zu deinen Ergebnissen.
BRAINMAPS UND NORMWERTE
Die Brain Maps zeigen deine Hirnaktivität, gemessen als Gehirnwellen in unterschiedlichen Frequenzen, sogenannte Frequenzbänder. Hier mal die bekanntesten:
- Delta (1-3 Hz) kommt vorwiegend im Tiefschlaf vor – sehr langsame Wellen
- Theta (4-7 Hz) wird mit innerem Erleben und Verarbeiten, aber auch mit Tagträumen, Schläfrigkeit in Verbindung gebracht
- Alpha (8-12 Hz) Entspannung im Wachzustand, aber auch Unaufmerksamkeit
- Beta (15 – 35 Hz) wird oft noch unterteilt, zeigt auch Konzentration und Wachzustand an, je höher, desto eher auch Angst, Stress
- Gamma (> 35 Hz) sehr schnelle Frequenz, bei Aufgaben, die äusserst viel Aufmerksamkeit verlangen beispielsweise
Auf den Brain Maps werden die einzelnen Frequenzbänder nun mit einer Normstichprobe verglichen und dementsprechend Abweichungen sichtbar gemacht. Diese Abweichungen wären auch beispielsweise Grundlage für ein z-Werte Training.



NETZWERKE IM GEHIRN
In den letzten Jahren wird immer deutlicher, wie sehr unser Gehirn in Netzwerken verschaltet und verbunden ist. So ist unser Gehirn auch immer aktiv (auch ohne konkrete Aufgabenbearbeitung), es verbraucht im Ruhezustand 20% unserer Energie. Verschiedene Netzwerke sind in verschiedene Abläufe integriert und sorgen dafür, dass wir uns regulieren und flexibel auf von aussen eintretende Reize reagieren können. So ist beispielsweise eine andere Reaktion notwendig, wenn ich in freier Wildbahn einem Bären gegenüberstehe, als wenn ich eine mathematische Gleichung in einer Prüfung lösen muss. Mein Gehirn muss flexibel, ausbalanciert und in der richtigen Geschwindigkeit zwischen den Netzwerken schalten können, um adäquat und funktional handeln zu können. Diese Umschaltprozesse werden meist von langsamen kortikalen Potenzialen gesteuert, daher sind sie äusserst relevant für eine adaptive Regulation unseres zentralen Nervensystems. Sind diese Prozesse fehlerhaft, führt dies zu zahlreichen unterschiedlichen Störungsbildern und deren Symptomatik. Die Messung von Balance, Verarbeitungsgeschwindigkeit und Flexibilität der Netzwerke ist daher essentiell für die Erstellung eines individuellen Trainingsprotokolls.




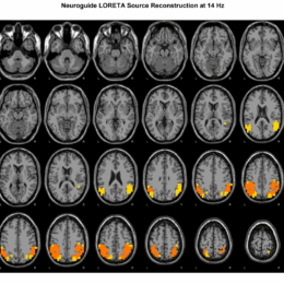
LORETA MESSUNG
Viele Störungsbilder treten mit ähnlichen neurophysiologischen Ätiologien in Erscheinung, aber eben nicht immer mit den gleichen. Um genauer sagen zu können, wo und in welchem Umfang mögliche Fehlfunktionen bei dir vorliegen, können wir auch präzisere Hirnareale analysieren und tieferliegende Strukturen sichtbar machen. Wichtig ist hier allerdings zu erwähnen, dass EEG apikale, also nahe dem Kortex liegende, Neurone ableitet, je tiefer man als0 geht, desto ungenauer ist eine Messung mit dem EEG und desto mehr Werte werden durch Interpolation berechnet.
EREIGNISKORRELIERTE POTENZIALE (ERP)
Ereigniskorrelierte Potenziale sind die Antwort des Gehirns auf äussere oder innere Reize, d. h., sie sind an bestimmte Ereignisse zu einer bestimmten Zeit gebunden. Man kann unterschiedliche Komponenten dabei unterscheiden, je nach zeitlichem Auftreten und Polarität (es gibt negative und positive Potenziale). Diese spiegeln dann die Verarbeitung verschiedener Reize in unterschiedlichen Gehirnarealen wider.
Die Amplitude (Anteil an Energie, den die einzelnen Komponenten haben) und die Latenz (Zeitdauer bis zu ihrem Auftreten) lassen Rückschlüsse auf die Verarbeitungsqualität der Reize durch die verschiedenen Gehirnstrukturen zu. So weiß man z. B., dass bei Menschen mit ADHS die Latenz bestimmter Komponenten (z.B. der P300) länger ist, und dass ihre Amplituden kleiner sind.
Negative kortikale Potenziale sind ein Indiz für Mobilisierung oder Bereitschaft, während positive Potenziale kognitive und neuronale Verarbeitungsleistungen oder die Hemmung neuronaler Aktivität anzeigen.



INDIVIDUELLE AUSWERTUNG
Wichtig für dich ist ein gründliches und möglichst störungsfreies Assessment, weil es die individuelle Funktionalität deines Gehirns sichtbar machen kann auf unterschiedlichen Ebenen. Nur so kann ich auch ein für dich passendes Trainingsprotokoll erstellen. Ausserdem können wir es nutzen, um Veränderungen in Aktivität und Funktionalität deines Gehirns, beispielsweise nach einem absolvierten Training, sichtbar zu machen.
